癌の幹細胞が再発に関して有力な原因となっている。では幹細胞を死滅することは不可能なのか?
現在その薬剤を見つけようと研究が進んでいる。また、遺伝子学の分野では癌の発現、進行を促進する遺伝子は食事と適度な運動、免疫力の向上で不活性化することも言われてきている。
これはどういうことだろう?がん治療に新たな分野が生まれ始めているということだ。
当院では自律神経免疫療法を推進することになった。また、食品で癌抑制遺伝子のスイッチを入れるものがいくつか見つかっている。以前にも書いたと思うが、大豆イソフラボンやレズベラトロール、ケルせチンなどである。これらのサプリメントも治療には有効である。
**************************
http://www.cancer.gov/ncicancerbulletin/080712/page2
新たなアプローチで得られた癌幹細胞の根拠
遺伝学的ツールを利用して、マウスにおいて腫瘍増殖を促進しているとみられる細胞の亜集団が同定された。3つの独立した研究グループから得られた本知見は、あらゆる種類の腫瘍細胞を生じさせる幹となる自己複製細胞によって一部の腫瘍は維持されているという癌幹細胞の仮説を、新たに支持するものである。研究結果のうち2報は8月1日にNature誌に掲載され、3報目は同日Science誌に掲載された。
各研究グループは、異なるマウスモデルを用いて、遺伝学的ツールによって腫瘍細胞を「標識」することで腫瘍細胞の起源を追った。いずれの研究結果においても、少なくともいくつかの腫瘍で、腫瘍の増殖および生存を促進する細胞が、一定集団含まれていることが示唆された。これらは、癌幹細胞とみられ、腫瘍始原細胞(tumor-initiating cells)とも呼ばれるものである。
「3つの研究は、癌幹細胞の仮説をさらに十分に裏づけるものです」と、これら3つの研究には関与していない癌幹細胞の研究者であるDr. Max Wicha氏(ミシガン大学総合がんセンター長)は述べた。「こうした研究は技術的に困難を伴うものですが、非常に素晴らしい成果を挙げたと思います」。
化学療法への抵抗性
Nature誌に掲載された1つ目の研究では、テモゾロミドによる化学療法後に脳腫瘍を再発させたとみられる脳腫瘍細胞の小集団を同定した。本薬剤は、投与の初期に増殖している癌細胞を枯渇させることで、腫瘍の増大を減弱させた。しかし、より活性が低い細胞集団、すなわち癌幹細胞集団には有害作用を及ぼさず、その結果、腫瘍は再発した。
「これは、少なくとも1つの固形腫瘍において、癌幹細胞の仮説が健在であることを裏づける明らかで厳密な証拠であると思います」と、代表研究者であるDr. Luis F. Parada氏(テキサス大学ダラス・サザンウェスタン医療センター)は述べた。「このタイプの腫瘍メカニズムが、どのくらい他の固形腫瘍に対して当てはまるのかは、時がたてば明らかになるでしょう」。
Nature誌の2つ目の研究では、皮膚腫瘍の発生を調べるために用いたマウスモデルにおいて、様子の異なる癌細胞集団を同定した。これは癌幹細胞の仮説と一致しており、比較的小数の長寿命腫瘍細胞の集団が、増殖中に最終的に腫瘍の大部分を形成する子孫細胞を生じさせていた。
「元ある場所(in situ)での腫瘍細胞の運命をたどる新たな手法により、生体内(in vivo)で腫瘍増殖の源となる癌幹細胞の存在が証明されました」と、代表研究者であるDr. Cedric Blanpain氏(ブリュッセル自由大学)は電子メールに記した。
Science誌に掲載された3つ目の研究では、マウスの腸の前癌病変における癌幹細胞を裏付ける証拠を発見した。これら3つの研究はともに癌幹細胞の存在を示しているが、マウスでの発見が人間の癌に結びつくかどうかは、まだわかっていない。
この分野の進展
癌幹細胞は、白血病で初めて発見されて以来、脳腫瘍、乳癌、大腸癌などの固形腫瘍において報告されてきた。その存在の証拠は、主に、ごくわずかなヒト腫瘍細胞集団をマウスに移植した際に広範囲に増殖し、新たな腫瘍を形成することができた実験から得られている。
しかし、癌幹細胞以外の要因によっても、移植された特定の細胞からの新たな腫瘍形成について説明することができると、研究者らは議論を続けてきた。マウスで腫瘍が形成されるかどうかは、移植方法や実験で用いられるマウスモデルの種類に左右される可能性もある。
これらの移植実験から癌幹細胞について確かな結論を出すには、あまりにも多くの変数がありすぎると、Parada氏は述べる。腫瘍細胞を標識するための遺伝学的ツールの出現によって、自然な環境下での潜在的な癌幹細胞について研究する機会が与えられることとなった。
「新たな研究によって、攪乱したヒト腫瘍を動物に移植する場合にのみ癌幹細胞が見られるという考えが否定されるのです」と、Wicha氏は述べる。「(これらの新たな知見が)この分野を進展させるでしょう」。
研究結果からは、腫瘍の発生においても正常組織の発生で使用されるのと同じ経路が活性化されることも示唆される。「腫瘍増殖の初期に認められる細胞階層は、正常細胞でみられる細胞階層が崩壊したものです」と、Blanpain氏は説明する。
臨床的意義
癌幹細胞の概念は、治療に影響を及ぼす可能性がある。癌幹細胞がヒト腫瘍に存在するとすれば、長期生存を得るためには癌幹細胞を根絶する必要がある。「癌を治癒させるには、癌幹細胞を同定し、標的にしなくてはならない」ことを新たな研究が示していると、Parada氏は述べた。
Wicha氏によれば、既に数十件の臨床試験において、患者内の幹細胞様特性をもつ細胞を標的としたアプローチが検討されている。ただ、新たな知見が明らかになったとはいえ、今のところ癌幹細胞についての議論は終わりそうにない。しかし、Wicha氏が言うように、これは必ずしも問題ではない。
「議論がなされるのは健全なことで、癌幹細胞に関する疑問も科学にとって良いことです」と同氏は述べ、こう付け加えた。「この分野には、常に議論が付きまとうでしょう」。
Parada氏が主導した研究は、一部米国国立衛生研究所からの資金提供を受けた(R01 CA131313)。
— Edward R. Winstead
参考文献:「発展途上にある癌幹細胞の科学」、「癌幹細胞モデルの微調整と検証」
【画像キャプション訳】
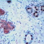
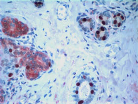
BRCA1の変異を伴う乳癌組織。幹細胞は赤、エストロゲン受容体は茶色で示されている。左側の拡張した幹細胞集団では、右側の正常小葉に比べて、エストロゲン受容体の発現が減少していることを示している。
http://www.cancer.gov/ncicancerbulletin/080712/page2
Using New Approach, Scientists Find Evidence for Cancer Stem Cells
Breast cancer tissue with a BRCA1 mutation, showing stem cells in red and estrogen receptor in brown. A cluster of expanded stem cells on left shows decreased estrogen receptor expression compared with normal lobules on right. (Courtesy of University of Michigan Comprehensive Cancer Center)With the help of genetic tools, researchers have identified subsets of cells that appear to drive the growth of tumors in mice. The findings, from three independent studies, provide new support for the cancer stem cell hypothesis—the idea that some tumors are sustained by self-renewing cells that give rise to all types of tumor cells. Two of the studies appeared August 1 in Nature, and the third was published on the same day in Science.
Each research group used the genetic tools to "label" tumor cells and track their ancestry in a different mouse model. The results of each study suggested that at least some tumors contain certain populations of cells that drive the growth and survival of the tumor. These would be the cancer stem cells, also known as tumor-initiating cells.
"The three studies provide nice additional support for the cancer stem cell hypothesis," said Dr. Max Wicha, director of the University of Michigan Comprehensive Cancer Center and a cancer stem cell researcher who was not involved in the three studies. "They are technically challenging and very well done."
Resisting Chemotherapy
The authors of one of the Nature reports identified a population of brain tumor cells that appeared to allow brain tumors to grow back after treatment with the drug temozolomide. The drug initially depleted proliferating cancer cells, slowing tumor growth. But it did not harm a population of less active cells—the cancer stem cells. As a result, the tumors recurred.
"We think this is a clear and rigorous demonstration that the cancer stem cell hypothesis is alive and well in at least one solid tumor," said lead researcher Dr. Luis F. Parada of the University of Texas Southwestern Medical Center in Dallas. "Time will show how frequently this type of tumor mechanism holds true for other solid tumors."
A second study in Nature identified distinct populations of cancer cells in a mouse model used to investigate the development of skin tumors. Consistent with the cancer stem cell hypothesis, a relatively small population of long-lived tumor cells ultimately gave rise, during tumor growth, to progeny cells that made up a substantial part of the tumor.
"The new method of tracking the fates of tumor cells in situ has demonstrated the existence of cancer stem cells that fuel the growth of tumors in vivo," lead investigator Dr. Cedric Blanpain of the Université libre de Bruxelles wrote in an e-mail message.
The third study, in Science, found evidence of cancer stem cells in precancerous intestinal lesions in mice. Although all three studies point to the existence of cancer stem cells, the relevance of the mouse findings to human cancers is not yet known.
Moving the Field Forward
First discovered in leukemia, cancer stem cells have since been reported in solid tumors such as brain, breast, and colon cancers. Evidence for their existence has come primarily from experiments in which only a small proportion of human tumor cells are able to proliferate extensively and to form new tumors when transplanted into mice.
But factors other than cancer stem cells could explain the formation of new tumors from only certain transplanted cells, researchers have argued. Whether tumors form in mice may depend on how the transplantation was done and the type of mouse model used in the experiment.
There are too many variables to be able to draw firm conclusions about cancer stem cells from these transplantation experiments, noted Dr. Parada. The emergence of genetic tools used to tag tumor cells offered a chance to study potential cancer stem cells in their natural environments.
"The new studies put to rest the idea that you see cancer stem cells only if you perturb the human tumor and transplant it into an animal," said Dr. Wicha. "[These new findings] will move the field forward."
The results also suggest that the same pathways used in normal tissue development may be active in tumor development. "The cellular hierarchy found in early tumor progression is a corruption of the cellular hierarchy found in normal tissue," Dr. Blanpain noted.
Clinical Implications
The concept of cancer stem cells has potential implications for treatment. If these cells exist in human tumors, they would need to be eradicated to achieve long-term survival. The new studies suggest that "to cure a cancer you have to be able to identify and target the cancer stem cells," said Dr. Parada.
Several dozen clinical trials are already testing approaches to target cells with stem-cell-like properties in patients, according to Dr. Wicha. Yet, even with the new findings, cancer stem cells are likely to remain controversial. As Dr. Wicha noted, however, this is not necessarily a problem.
"Controversy is healthy, and questions about cancer stem cells are good for science," he said, adding, "There will always be controversies in the field."
The study led by Dr. Parada was funded in part by the National Institutes of Health (R01 CA131313).
—Edward R. Winstead
Further reading: "The Evolving Science of Cancer Stem Cells" and "Tweaking and Testing Cancer Stem Cell Models"


